Bagian ini yang saya tunggu sejak pertama masuk Bedah. Secara di bedah ada banyak foto berseliweran tapi cuma bisa baca ekspertise yang sudah jadi saja? Aih...
Tapi, senang juga sudah lewat Bedah sebelum masuk Radiologi. Paling tidak di bedah lihat klinis pasien, banyak foto dan baca banyak ekspertise, bantu-bantu radiografer memposisikan pasien waktu jaga, nanya2 residen Radio waktu meng-USG pasien (seringnya USG FAST & KUB), nganter2 pasien yang mau CT-Scan, de-el-el. Seru,kan? Buat saya sih seru walaupun capek dorong2. Makin penasaran aja sama foto hitam putih yang memang perlu ilmu khusus itu.. fiiiuuuuh...
Bukannya di Bedah ga diajarin. Di setiap subdiv diajarin baca foto, kok. Tapi sebatas subdiv masing2. Di NC pasti di ajarin baca CT-Scan kepala & Cervical. Di Ortho ada foto muskuloskeletal. Di Uro ada BNO-IVP. Di mana-mana..
Heran ya, foto yang hitam putih begitu bisa sangat berarti. Dulu sewaktu kecil, sekitar umur 6 tahun, sempat di foto (Rontgen) tapi yang ada cuma bengong doang. Eh, sekarang diliatin ratusan foto tetep aja masih bengong..hihi. Tapi jadinya jauh lebih baik lha..Alhamdulillah :)
Si "Ilmu Hitam Putih"
Hitam-putih (radiolusen-radioopak) sebuah foto Rontgen [selanjutnya ditulis foto saja] tergantung pada daya tembus sinar X pada suatu benda. Benda-benda yang mudah ditembus sinar X akan memberikan gambaran hitam (radiolusen). Benda-benda yang sukar ditembus sinar X akan memberikan gambaran putih (radioopak). Ada juga bayangan tidak terlalu hitam (moderately radioluscent) dan bayangan tidak terlalu putih (moderately radioopaque). Diantara radiolusen sedang dan radioopak sedang ada bayangan keputih-putihan (intermediate).
Berdasarkan mudah tidaknya ditembus sinar X, bagian tubuh dibedakan atas:
- Radiolusen: gas, udara
- radiolusen sedang: jaringan lemak
- keputih-putihan: jaringan ikat, otot, darah, kartilago, epitel, batu kolesterol, batu asam urat
- radioopak sedang: tulang, garam kalsium
- radioopak: logam-logam berat
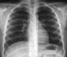
Tidak semua foto layak baca. Misalnya pada foto Rontgen Thorax, foto dikatakan layak baca,salah satu syaratnya, bila memenuhi kualitas hitam-putih tertentu yang bergantung pada:
1. KV (kilovolt)
> Tegangan. Mempengaruhi daya tembus sinar X. Bila KV cukup, maka corpus vertebra thorax III harus terlihat, yang semakin ke bawah semakin tidak jelas.
2. MAS (mili ampere seconds)
> Mempengaruhi jumlah sinar X yang dikeluarkan. Mempengaruhi kontras pada film. Cara mengetahui cukup atau tidaknya yaitu dengan menyimpan jari di belakang pinggir foto yang warnanya paling hitam. Normal -> jari tetap terlihat. Abnormal-> terlalu hitam (keras) atau terlalu putih (lunak)
Masih ada beberapa syarat lain seperti identitas pasien, marker film, inspirasi cukup, dll. Selain harus memenuhi syarat tertentu, membaca foto juga perlu keahlian khusus yaitu perlu imajinasi yang tinggi. Ini bener kata radiolog lho ;) Jadi, buat teman2 yang suka berimajinasi dan senang belajar visual, pintar patofisiologi cucok deh masuk bagian ini.

0 komentar:
Post a Comment